400 - 820 - 3979
货号:P3202,C2011
规格&货号
P3202,C2011
储存条件
常温
运输条件
常温
有效期(月)
长期
返回列表
产品介绍

1984 年诺贝尔生理学或医学奖共同授予 Niels K. JerneGeorges J.F. Köhler César Milstein,以表彰他们发现了生产单克隆抗体的原理

Milstein发明的杂交瘤技术不仅彻底改变了抗体的效用,允许从单个克隆中产生和生产具有单一特异性的单一抗体,而且还允许在体外生产单克隆抗体,而不需要动物宿主。今天,单克隆抗体继续处于医学研究的前沿,因为科学家们发现了它们在诊断和治疗应用中的新用途。

杂交瘤细胞会分泌转化生长因子-β(TGF-β),它是一种会抑制杂交瘤细胞生长的细胞因子。功能型TGF-β的分子量大约是 27kD,截留分子量大的培养筒(Cartridge)允许TGF- β扩散通过,所以由于浓度差异,TGF-β会自然进入循环培养基,可以减小或者消除对细胞的抑制效果;而杂交瘤细胞分泌的抗体则在ECS(中空纤维外空间)堆枳, 并可达到很高的浓度。

细胞附着在多孔支架上,类似于体内生长方式。在中空纤维系统内,细胞可以维持活力和分泌代谢物数个月或以上。中空纤维系统内的细胞不需要传代,因为一定比例的细胞会处于静止期,即它们会分泌蛋白但停止分裂。例如,有在Fibercell 系统内培养杂交瘤细胞生产单抗一年以上,另外有连续培养胶质瘤细胞近两年。


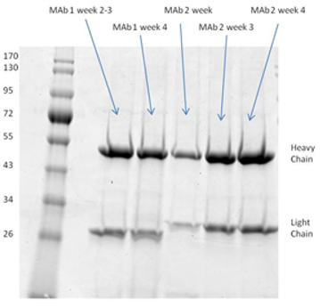
产物未经纯化的电泳图

数据来源:Dr. Erin Bromage c/o the US Veterinary Immune Reagents Network

上图显示了应用 CDM-HD超过 6 个月连续生产单克隆抗体的结果。

  • TGF β 扩散 – mAb 富集在 ECS
  • 轻松适用 SFM/CDM-HD
  • 降低内毒素
  • 0.5 5 mg/mL 浓度
  • 连续生产超过 6 个月

使用 FiberCell C5011 培养筒可轻松生产多克量的单克隆抗体

IL 15 受体复合物在同一基因上共表达。IL15 的表达与其受体复合导致治疗性蛋白质具有延长的血清半衰期。然而,它非常难以表达,因为它是 45% 的糖基化的,并且仅通过受体-配体相互作用保持在一起。这种复杂、难以表达的蛋白质在中空纤维生物反应器中高效生产,而其他方法则无法做到这一点。

订购信息:


参考文献


  • Differential Inhibition of Nav1.7 andNeuropathic Pain by Hybridoma-Produced and Recombinant Monoclonal Antibodiesthat Target Nav1.7: Bang,S., Yoo, J.,Gong, X. ; Neuroscience Bulletin 2018 Jan 1-20 [Abstract]
  • Humanization of JAA-F11, a HighlySpecific Anti-Thomsen-Friedenreich Pancarcinoma Antibody and In Vitro EfficacyAnalysis: Tati, S. et al.; Neoplasia,201719:716-733 [Open Access]
  • Depletion of CD4+ CD25+ regulatory Tcells confers susceptibility to experimental autoimmune encephalomyelitis (EAE)in GM-CSF-deficient Csf2-/- mice.: Ghosh, D.et al.; J Leukoc Biol. 2016 Oct;100(4):747-760 [Abstract]
  • IFN-β Facilitates Neuroantigen-DependentInduction of CD25+ FOXP3+ Regulatory T Cells That Suppress ExperimentalAutoimmune Encephalomyelitis: Wang,D. et al;J. Immunol., 2016; 197: 2992 – 3007 [Abstract]
  • A Humanized Anti-CD22-OnconaseAntibody-Drug Conjugate Mediates Highly Potent Destruction of Targeted TumorCells: Weber, T. et al; Journal of ImmunologyResearch Volume 2015 (2015), Article ID 561814. [Open Access]


产品应用
单克隆抗体生产
在线咨询
微信公众号
在线咨询
在此留下您的需求