400 - 820 - 3979
货号:CT521
规格&货号
CT521-0501, 500 μg(1×5ml); MX521-0501, 500 μg(1×5ml)
储存条件
-80°C
运输条件
干冰
有效期(月)
36个月
返回列表
产品介绍

Biolaminin 521产品是市场上唯一的全长,人类重组层粘连蛋白521基质。 Biolaminin 521 CTG(CT521)是世界上第一个细胞治疗级层粘连蛋白产品(符合美国药典Chapter 1043),可以在整个细胞治疗开发过程中为科学家提供支持,作为BioLamina科研级别层粘连蛋白产品Biolaminin 521 LN(LN-521)的升级。 Biolaminin 521 MX,作为CTG产品的补充,促进了从研发到临床的无缝过渡。

不同等级的 Biolaminin 521 产品——从研究到临床

产品特点:

  • 全球首个细胞治疗级层粘连蛋白产品
  • 适用于临床研究
  • CT521:包括额外的质量文件
  • 生产控制和可追溯性
  • 有助于缩短IND提交时间
  • 国内外细胞治疗单位首选


hPSCCT521上细胞快速增殖

CT521LN521上,hPSC细胞以单细胞传代(无ROCKi)的增殖率相似,明显高于在Vitronectin上的增殖率;而Fibronectin不能支持hPSC生长。

不同hPSC细胞系在CT521上增殖速率

hES 细胞系 HS181 HS980 以及 hiPS 细胞系 iPSC3 的倍增速率(10 代)


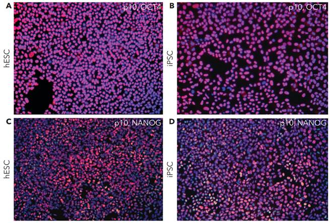
hESC hiPSC CT521 上长期培养后保持分化能力

AB:在CT521上培养的hESC (HS181)细胞在传代10

CD:在CT521上培养的hiPS iPSC3)细胞在传代10

仍保持多能性并具分化能力(多能标志物 NANOG OCT4)。

BDEB 形成后,多能标志物(NANOG OCT4)蛋白表达降低。

CT521 hESC hiPSC 的多能蛋白表达

ACCT521上培养的hESC (HS181)细胞在iPSC-Brew培养基中传代培养 10

BD CT521上培养的hiPS iPSC3)细胞在iPSC-Brew培养基中传代培养 10

细胞保持多能性,OCT4A-B;粉红色)、NANOGC-D;粉红色)和 DAPIA-D;蓝色)的免疫细胞化学证实了这一点。


CT521 hPSC 维持正常核型

hES 细胞 (HS181) 在 CT521 上传代培养 13 代后呈正常核型。

订购信息

产品名称

产品货号

规格

BIOLAMININ 521 CTG

CT521-0501

500 μg(1×5ml)

BIOLAMININ 521 MX

MX521-0501

500 μg(1×5ml)



产品应用
  • iPSC细胞治疗
  • 临床研究
生产和质量体系
ISO 9001
在线咨询
微信公众号
在线咨询
在此留下您的需求